Інформація призначена тільки для фахівців сфери охорони здоров'я, осіб,
які мають вищу або середню спеціальну медичну освіту.

Підтвердіть, що Ви є фахівцем у сфері охорони здоров'я.

Архів офтальмології та щелепно-лицевої хірургії України Том 2, №1, 2025

Вернуться к номеру

Корекція аметропії та пресбіопії за допомогою технології PresbyMAX: клінічний випадок

Авторы: Петренко О.В. (1), Лейченко Ю.В. (2), Головкин В.В. (2)
(1) - Національний медичний університет імені О.О. Богомольця, м. Київ, Україна
(2) - Офтальмологічний центр «Ексімер», м. Київ, Україна

Рубрики: Хирургия, Офтальмология

Разделы: Справочник специалиста

Версия для печати


Резюме

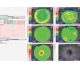
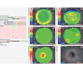
Актуальність. У клінічному випадку описано використання технології PresbyMAX Hybrid для корекції аметропії та пресбіопії у 48-річної пацієнтки з міопією середнього ступеня та скаргами на зниження зору зблизька. Метою роботи було створення біасферичного мультифокального профілю рогівки для забезпечення якісного зору на близькій, середній і далекій відстані. Матеріали та методи. Після попереднього обстеження, включно з кератотопографією, пахіметрією та визначенням акомодаційних резервів, пацієнтці було проведено моделювання зору з використанням м’яких контактних лінз, що продемонструвало позитивну відповідь і підтвердило доцільність хірургічного втручання. Лазерну абляцію проведено на платформі Schwind Amaris 500E з оптимізацією центральної рогівки для зору зблизька та периферії для зору вдалину. Результати. Вже на 1-й день після операції пацієнтка мала добру гостроту зору на всіх дистанціях, із подальшим поліпшенням і стабілізацією впродовж трьох місяців. Досягнуто повної незалежності від окулярів як для зору вдалину, так і для близької роботи. Ускладнень не зафіксовано. Висновки. Методика PresbyMAX Hybrid довела свою ефективність і безпечність, а пацієнтка оцінила результати лікування як значне поліпшення зору та якості життя.

Background. This clinical case presents the use of PresbyMAX Hybrid technology for the correction of ametropia and presbyopia in a 48-year-old female patient with moderate myopia and complaints of near vision deterioration. The aim of the work was to create a bi-aspheric multifocal corneal profile to provide clear vision at near, intermediate and far distance. Materials and methods. Following a comprehensive preoperative examination, including corneal topography, pachymetry, and evaluation of accommodative reserves, visual simulation was performed using soft contact lenses with a positive response, confirming the indication for surgical intervention. Laser ablation was performed using the Schwind Amaris 500E platform, with central corneal optimization for near vision and peripheral zones configured for distance vision. Results. On the first postoperative day, the patient achieved good uncorrected visual acuity at all distances, with further improvement and stabilization over a three-month follow-up. Complete independence from spectacles was achieved for both distance and near tasks. No postoperative complications were observed. Conclusions. The PresbyMAX Hybrid technique demonstrated high efficacy and safety, and the patient evaluated treatment outcomes as significant improvement in visual function and overall quality of life.


Ключевые слова

ексімер-лазерна корекція зору; PresbyMAX; біасферичний мультифокальний профіль; пресбіопічна корекція

excimer laser correction; PresbyMAX; bi-aspheric multifocal corneal profile; presbyopia correction


Для ознакомления с полным содержанием статьи необходимо оформить подписку на журнал.


Список литературы

  1. Tran K.V., Le P.V., Hoang T.T. Evaluation of the outcome of refractive error treatment in elderly patients using the PresbyMAX method at Sai Gon Can Tho Eye Hospital. Medical Research Archives. 2024;12(11):6104. doi: 10.18103/mra.v12i11.6104. 
  2. Baudu P., Holland D., Herbst T., Pölzl M., Uthoff D., Hepper D. Six‑month outcomes with PresbyMAX Hybrid – the latest generation for the treatment of presbyopia. Schwind Eye-Tech Solutions Study Report. 2014;372. 
  3. Luger M., Uthoff D., Chan T., et al. Visual and refractive results and patient satisfaction in presbyopic myopes and hyperopes after PresbyMAX symmetric multifocal ablation profile: five-year follow-up. Egyptian Journal of Ophthalmology and Medical Sciences. 2023;3(3):119-126. doi: 10.21608/ejomos.2022.​177742.1079. 
  4. Uthoff D., Luger M., et al. Corneal compensation of presbyopia: PresbyLASIK — an updated review. Eye and Vision. 2017;4:75. https://doi.org/10.1186/s40662-017-0075-9.
  5. Sekitani A., et al. Presbyopic LASIK using hybrid bi‑aspheric micro-monovision ablation profile for presbyopic corneal treatments. American Journal of Ophthalmology. 2015;159(2):321-329. doi: 10.1016/j.ajo.2015.01.006.
  6. ZHU J., LUO D. Research progress on retinal projection AR near-eye displays. Chinese Journal of Liquid Crystals and Displays. 2024;39(5):656-671. URL: https://doi.org/10.37188/cjlcd.2024-0080 (date of access: 21.07.2025).
  7. Zhang G., Cao H., Qu C. Efficacy, Safety, Predictability, and Stability of LASIK for Presbyopia Correction: A Systematic Review and Meta-analysis. Journal of Refractive Surgery. 2023;39(9):627-638. URL: https://doi.org/10.3928/1081597x-20230802-02 (date of access: 21.07.2025).
  8. Shetty R., Brar S., Sharma M., Dadachanji Z., Lalgudi V.G. PresbyLASIK: A review of PresbyMAX, Supracor, and laser blen–ded vision: Principles, planning, and outcomes. Indian J Ophthalmol. 2020;68(12):2723-2731. doi: 10.4103/ijo.IJO_32_20. 
  9. Fernández J., Molina-Martín A., Rocha-de-Lossada C., Rodríguez-Vallejo M., Piñero D.P. Clinical outcomes of presbyopia correction with the latest techniques of presbyLASIK: a systematic review. Eye (Lond). 2023;37(4):587-596. doi: 10.1038/s41433-022-02175-3. 
  10. One Year Outcome and Satisfaction of Presbyopia Correction Using the PresbyMAX® Monocular Ablation Profile / D. Fu et al. Frontiers in Medicine. 2020;7. URL: https://doi.org/10.3389/fmed.2020.589275 (date of access: 21.07.2025).
  11. Elbakry A., Ebeid A., ElShiwy H. Visual and refractive results and patient satisfaction in presbyopic myopes and hyperopes after PresbyMAX® Symmetric multifocal ablation profile: Five-years follow-up. Egyptian Journal of Ophthalmology (Mansoura Ophthalmic Center). 2023;3(3):119-126. URL: https://doi.org/10.21608/ejomos.2022.177742.1079 (date of access: 21.07.2025). 
  12. Ganesh S., Sriganesh S.S. Laser refractive correction of presbyopia. Indian J Ophthalmol. 2024;72(9):1236-1243. doi: 10.4103/IJO.IJO_3074_23. 

Вернуться к номеру