Журнал "Гастроентерологія" Том 59, №3, 2025
Повернутися до номеру
Гепатоцелюлярна карцинома: сучасні аспекти міждисциплінарного менеджменту. Частина 1. Епідеміологія, фактори ризику, діагностика
Автори: Степанов Ю.М. (1), Завгородня Н.Ю. (1), Власова О.М. (2)
(1) - ДУ «Інститут гастроентерології НАМН України», м. Дніпро, Україна
(2) - Дніпровський державний медичний університет, м. Дніпро, Україна
Рубрики: Гастроентерологія
Розділи: Довідник фахівця
Версія для друку
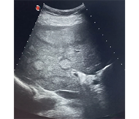
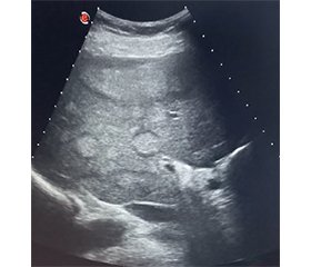
Гепатоцелюлярна карцинома (ГЦК) є найпоширенішим варіантом первинного раку печінки, що характеризується високою летальністю та несприятливим прогнозом. Глобальна захворюваність і смертність від ГЦК продовжують зростати попри прогрес у лікуванні вірусних гепатитів внаслідок зростання поширеності метаболічно-асоційованої стеатотичної хвороби печінки й ожиріння. На основі аналізу літературних джерел баз даних Pubmed, MedLine, The Cochrane Library, Embase в огляді узагальнено сучасні дані щодо епідеміології, ключових факторів ризику, патогенезу та молекулярної класифікації ГЦК. Окрему увагу приділено сучасним підходам до діагностики, зокрема методам візуалізації, системі стандартизації зображень LI-RADS, ролі неінвазивних біомаркерів і морфологічної верифікації. Підкреслено значення скринінгових програм у групах високого ризику та своєчасної міждисциплінарної взаємодії, що дозволяє оптимізувати стратегію ведення пацієнтів відповідно до міжнародних клінічних рекомендацій.
Hepatocellular carcinoma (HCC) is the most common variant of primary liver cancer, characterized by high mortality and unfavorable prognosis. Global incidence and mortality from HCC continue to rise despite progress in the treatment of viral hepatitis due to the increasing prevalence of metabolic dysfunction-associated steatotic liver disease and obesity. Based on the analysis of literature sources from the Pubmed, MedLine, The Cochrane Library, Embase databases, the review summarizes current data on the epidemiology, key risk factors, pathogenesis and molecular classification of HCC. Special attention is paid to modern approaches to diagnosis, in particular imaging methods, the Liver Imaging Reporting and Data System, the role of non-invasive biomarkers and morphological verification. The importance of screening programs in high-risk groups and timely interdisciplinary interaction is emphasized, which allows optimizing the strategy of patient management in accordance with international clinical guidelines.
гепатоцелюлярна карцинома; епідеміологія; фактори ризику; діагностика; міждисциплінарний менеджмент
hepatocellular carcinoma; epidemiology; risk factors; diagnosis; interdisciplinary management
Для ознайомлення з повним змістом статті необхідно оформити передплату на журнал.
- Global Cancer Observatory. URL: https://gco.iarc.fr/today/.
- European Association for the Study of the Liver. EASL Clinical Practice Guidelines on the management of hepatocellular carcinoma. J Hepatol. 2025;82(2):315-374. doi: 10.1016/j.jhep.2024.08.028.
- Singal AG, Ng M, Kulkarni A. Advancing Surveillance Stra–tegies for Hepatocellular Carcinoma: A New Era of Efficacy and Precision. J Clin Exp Hepatol. 2024;14(6):101448. doi: 10.1016/j.jceh.2024.101448.
- Suddle A, Reeves H, Hubner R, Marshall A, Rowe I, Tiniakos D, et al. British Society of Gastroenterology guidelines for the ma–nagement of hepatocellular carcinoma in adults. Gut. 2024;73(8):1235-1268. doi: 10.1136/gutjnl-2023-331695.
- Global Cancer Observatory. URL: https://gco.iarc.fr/tomorrow/en.
- Singh SP, Madke T, Chand P. Global Epidemiology of Hepatocellular Carcinoma. J Clin Exp Hepatol. 2025;15(2):102446. doi: 10.1016/j.jceh.2024.102446.
- Hwang SY, Danpanichkul P, Agopian V, Mehta N, Parikh ND, Abou-Alfa GK, et al. Hepatocellular carcinoma: updates on epidemiology, surveillance, diagnosis and treatment. Clin Mol Hepatol. 2025;31(Suppl):S228-S254. doi: 10.3350/cmh.2024.0824.
- Younossi Z, Stepanova M, Ong JP, Jacobson IM, Bugianesi E, Duseja A, et al; Global Nonalcoholic Steatohepatitis Council. Nonalcoholic Steatohepatitis Is the Fastest Growing Cause of Hepatocellular Carcinoma in Liver Transplant Candidates. Clin Gastroenterol Hepatol. 2019;17(4):748-755.e3. doi: 10.1016/j.cgh.2018.05.057.
- Verna EC, Phipps MM, Halazun KJ, Markovic D, Florman SS, Haydel BM, et al, US Multicenter HCC Transplant Consortium. Outcomes in liver transplant recipients with nonalcoholic fatty liver disease-related HCC: results from the US multicenter HCC transplant consortium. Liver Transpl. 2023;29(1):34-47. doi: 10.1097/LVT.0000000000000007.
- Bulletin of the National Cancer Registry of Ukraine № 25. URL: http://www.ncru.inf.ua/publications/BULL_25/index.htm.
- Order of the Ministry of Health of Ukraine № 377 dated February 12, 2024. Unified clinical protocol “Hepatocellular carcinoma”.
- Hepatocellular carcinoma. Evidence-based clinical guideline, 2023.
- Singal AG, Llovet JM, Yarchoan M, Mehta N, Heimbach JK, Dawson LA, et al. AASLD Practice Guidance on prevention, diagnosis, and treatment of hepatocellular carcinoma. Hepatology. 2023;78(6):1922-1965. doi: 10.1097/HEP.0000000000000466.
- Wang J, Qiu K, Zhou S, Gan Y, Jiang K, Wang D, Wang H. Risk factors for hepatocellular carcinoma: an umbrella review of systematic review and meta-analysis. Ann Med. 2025;57(1):2455539. doi: 10.1080/07853890.2025.2455539.
- Awadh AA, Alharthi AA, Alghamdi BA, Alghamdi ST, Baqays MK, Binrabaa IS, et al. Coinfection of Hepatitis B and C Viruses and Risk of Hepatocellular Carcinoma: Systematic Review and Meta-analysis. J Glob Infect Dis. 2024;16(4):127-134. doi: 10.4103/jgid.jgid_211_23.
- Lin CL, Kao JH. Development of hepatocellular carcinoma in treated and untreated patients with chronic hepatitis B virus infection. Clin Mol Hepatol. 2023;29(3):605-622. doi: 10.3350/cmh.2022.0342.
- Zamor PJ, Lane AM. Interpretation of HBV Serologies. Clin Liver Dis. 2021;25(4):689-709. doi: 10.1016/j.cld.2021.06.012.
- Kamal H, Fornes R, Simin J, Stål P, Duberg AS, Brusselaers N, et al. Risk of hepatocellular carcinoma in hepatitis B and D virus co-infected patients: a systematic review and meta-analysis of longitudinal studies. J Viral Hepat. 2021;28:1431-1442.
- Lehle J, Soleimanpour M, Mokhtari S, Ebrahimi D. Viral infection, APOBEC3 dysregulation, and cancer. Front Genet. 2024;15:1489324. doi: 10.3389/fgene.2024.1489324.
- Tan X, Xun L, Yin Q, Chen C, Zhang T, Shen T. Epigenetic Modifications in HBV-Related Hepatocellular Carcinoma. J Viral Hepat. 2025;32(2):e14044. doi: 10.1111/jvh.14044.
- Bouajila N, Domenighetti C, Aubin HJ, Naassila M. Alcohol consumption and its association with cancer, cardiovascular, liver and brain diseases: a systematic review of Mendelian randomization studies. Front Epidemiol. 2024;4:1385064. doi: 10.3389/fepid.2024.1385064.
- Zeng RW, Ong CEY, Ong EYH, Chung CH, Lim WH, Xiao J, et al. Global Prevalence, Clinical Characteristics, Surveillance, Treatment Allocation, and Outcomes of Alcohol-Associated Hepatocellular Carcinoma. Clin Gastroenterol Hepatol. 2024;22(12):2394-2402.e15. doi: 10.1016/j.cgh.2024.06.026.
- Wu YP, Yang XY, Tian YX, Feng J, Yeo YH, Ji FP, et al. Dose-dependent Relationship between Alcohol Consumption and the Risks of Hepatitis B Virus-associated Cirrhosis and Hepatocellular Carcinoma: A Meta-analysis and Systematic Review. J Clin Transl Hepatol. 2025;13(3):179-188. doi: 10.14218/JCTH.2024.00379.
- Liang J, Kim N, Yang JD. Hepatocellular carcinoma risk prediction and early detection in patients with metabolic dysfunction associated steatotic liver disease. Transl Gastroenterol Hepatol. 2024;9:67. doi: 10.21037/tgh-24-41.
- Yuan C, Shu X, Wang X, Chen W, Li X, Pei W, et al. The impact of metabolic syndrome on hepatocellular carcinoma: a mendelian randomization study. Sci Rep. 2025;15(1):1941. doi: 10.1038/s41598-025-86317-z.
- Younossi ZM, Kalligeros M, Henry L. Epidemiology of metabolic dysfunction-associated steatotic liver disease. Clin Mol Hepatol. 2025;31(Suppl):S32-S50. doi: 10.3350/cmh.2024.0431.
- Behari J, Gougol A, Wang R, Luu HN, Paragomi P, Yu YC, et al. Incidence of hepatocellular carcinoma in nonalcoholic fatty liver disease without cirrhosis or advanced liver fibrosis. Hepatol Commun. 2023;7(7):e00183. doi: 10.1097/HC9.0000000000000183.
- Сhu J, Cholankeril G, Yu X, Rana A, Natarajan Y, El-Se–rag HB, Kramer J, Kanwal F. Clinical Course and Outcomes of Patients with Nonalcoholic Fatty Liver Disease-Related Hepatocellular Cancer (NAFLD-HCC). Dig Dis Sci. 2023;68(3):1060-1070. doi: 10.1007/s10620-022-07565-x.
- Crane H, Eslick GD, Gofton C, Shaikh A, Cholankeril G, Cheah M et al. Global prevalence of metabolic dysfunction-associated fatty liver disease-related hepatocellular carcinoma: A systematic review and meta-analysis. Clin Mol Hepatol. 2024;30(3):436-448. doi: 10.3350/cmh.2024.0109.
- Xiao S, Liu Y, Fu X, Chen T, Xie W. Modifiable Risk Factors for Hepatocellular Carcinoma in Patients with Metabolic Dysfunction-Associated Steatotic Liver Disease: A Meta-Analysis. Am J Med. 2024;137(11):1072-1081.e32. doi: 10.1016/j.amjmed.2024.06.031.
- Pilling LC, Tamosauskaite J, Jones G, Wood AR, Jones L, Kuo CL, et al. Common conditions associated with hereditary haemochromatosis genetic variants: cohort study in UK Biobank. BMJ. 2019;364:k5222. doi: 10.1136/bmj.k5222.
- Hagström H, Ndegwa N, Jalmeus M, Ekstedt M, Posserud I, Rorsman F, et al; Swedish Hepatology Study Group (SweHep). Morbidity, risk of cancer and mortality in 3645 HFE mutations carriers. Liver Int. 2021;41(3):545-553. doi: 10.1111/liv.14792.
- Schneider CV, Decraecker M, Beaufrère A, Payancé A, Coilly A, Schneider KM, et al. Alpha-1 antitrypsin deficiency and primary liver cancers. Biochim Biophys Acta Rev Cancer. 2025;1880(2):189290. doi: 10.1016/j.bbcan.2025.189290.
- Fromme M, Schneider CV, Pereira V, Hamesch K, Pons M, Reichert MC, et al. Hepatobiliary phenotypes of adults with alpha-1 antitrypsin deficiency. Gut. 2022;71(2):415-423. doi: 10.1136/gutjnl-2020-323729.
- Tanash HA, Ekström M, Rönmark E, Lindberg A, Piitulai–nen E. Survival in individuals with severe alpha 1-antitrypsin deficiency (PiZZ) in comparison to a general population with known smoking habits. Eur Respir J. 2017;50(3):1700198. doi: 10.1183/13993003.00198-2017.
- Hiller AM, Ekström M, Piitulainen E, Lindberg A, Rönmark E, Tanash H. Cancer risk in severe alpha-1-antitrypsin deficiency. Eur Respir J. 2022;60(4):2103200. doi: 10.1183/13993003.03200-2021.
- Souza M, Lima LCV, Al-Sharif L, Huang DQ. Incidence of Hepatobiliary Malignancies in Primary Sclerosing Cholangitis: Systematic Review and Meta-analysis. Clin Gastroenterol Hepatol. 2024 Dec 19:S1542-3565(24)01043-7. doi: 10.1016/j.cgh.2024.09.037.
- Hansen S, Gilroy R, Lindsay I, Doty JR, Butschek RA, Danford CJ. A Meta-Analysis of Cumulative Incidence of Hepatocellular Carcinoma After the Fontan Operation. Dig Dis Sci. 2024;69(12):4467-4475. doi: 10.1007/s10620-024-08470-1.
- Merolle L, Ghirotto L, Schiroli D, Balestra GL, Venturelli F, Bassi MC, et al. Risk of cancer in patients with thalassemia and sickle cell disease: a systematic review. Ann Med. 2025;57(1):2522967. doi: 10.1080/07853890.2025.2522967.
- Sato-Espinoza K, Valdivia-Herrera M, Chotiprasidhi P, Diaz-–Ferrer J. Hepatocellular carcinoma in patients without cirrhosis. World J Gastroenterol. 2025;31(23):107100. doi: 10.3748/wjg.v31.i23.107100.
- Kornerup LS, Jepsen P, Bartels LE, Dahlerup JF, Vilstrup H. Lower Incidence of Hepatobiliary Cancer in Helicobacter pylori-Infected Persons: A Cohort Study of 53.633 Persons. J Clin Exp Hepatol. 2022;12(3):793-799. doi: 10.1016/j.jceh.2021.11.013.
- Penaflorida JLGR, Requesto JRU, Romero KYB, Africa AER, De La Torre MIC, Patena JNN, et al. Association between Helicobacter pylori and Hepatobiliary Cancer: A Meta-analysis and Syste–matic Review. Asian Pac J Cancer Prev. 2024;25(10):3363-3370. doi: 10.31557/APJCP.2024.25.10.3363.
- Madala S, MacDougall K, Surapaneni BK, Park R, Girotra M, Kasi A. Coinfection of Helicobacter pylori and Hepatitis C Virus in the Development of Hepatocellular Carcinoma: A Systematic Review and Meta-Analysis. J Clin Med Res. 2021;13(12):530-540. doi: 10.14740/jocmr4637.
- Belayneh M, Tegegne BA, Lemma M, Abay Z, Belyhun Y. Clinical and biochemical characterization of hepatitis B surface antigen-positive patients with or without Helicobacter pylori co-infection at the University of Gondar Comprehensive Specialized Hospital, Northwest Ethiopia. Front Immunol. 2025;16:1553411. doi: 10.3389/fimmu.2025.1553411.
- Zhang J, Liu S, Zhang J, Feng M, Chen S, Zhang Y, et al. Helicobacter pylori induced miR-362-5p upregulation drives gastric cancer progression and links hepatocellular carcinoma through an exosome-dependent pathway. Front Cell Infect Microbiol. 2025;15:1582131. doi: 10.3389/fcimb.2025.1582131.
- Mohammadi Azad Z, Moosazadeh Moghaddam M, Fasihi-Ramandi M, Haghighat S, Mirnejad R. Evaluation of the effect of Helicobacter pylori-derived OMVs and released exosomes from stomach cells treated with OMVs on the expression of genes related to the TGF-β/SMAD signaling pathway in hepatocellular carcinoma. J Recept Signal Transduct Res. 2024;44(5-6):181-190. doi: 10.1080/10799893.2024.2436461.
- Ben Khaled N, Schulz C, Alunni-Fabbroni M, Bronny K, Jochheim LS, Kalali B, et al. Impact of Helicobacter pylori on Immune Checkpoint Inhibition in Hepatocellular Carcinoma: A Multicenter Study. Digestion. 2025;Feb 19:1-11. doi: 10.1159/000542847.
- Natri HM, Wilson MA, Buetow KH. Distinct molecular etio–logies of male and female hepatocellular carcinoma. BMC Cancer. 2019;19(1):951. doi: 10.1186/s12885-019-6167-2.
- Yin H, Yan Z, Zhao F. Risk factors of hepatocellular carcinoma associated with nonalcoholic fatty liver disease: Systematic review and meta-analysis. Technol Health Care. 2024;32(6):3943-3954. doi: 10.3233/THC-231331.
- Ruiz-Margáin A, Román-Calleja BM, Moreno-Guillén P, González-Regueiro JA, Kúsulas-Delint D, Campos-Murguía A, Flores-García NC, Macías-Rodríguez RU. Nutritional therapy for hepatocellular carcinoma. World J Gastrointest Oncol. 2021;13(10):1440-1452. doi: 10.4251/wjgo.v13.i10.1440.
- Yu J, Liu Z, Liang D, Li J, Ma S, Wang G, Chen W. Meat Intake and the Risk of Hepatocellular Carcinoma: A Meta-Analysis of Observational Studies. Nutr Cancer. 2022;74(9):3340-3350. doi: 10.1080/01635581.2022.2077386.
- Shu W, Liu L, Jiang J, Yao Q. Dietary patterns and hepatocellular carcinoma risk: a systematic review and meta-analysis of cohort and case-control studies. Nutr Metab (Lond). 2024;21(1):47. doi: 10.1186/s12986-024-00822-y.
- Yu J, Liang D, Li J, Liu Z, Zhou F, Wang T, et al. Coffee, Green Tea Intake, and the Risk of Hepatocellular Carcinoma: A Systematic Review and Meta-Analysis of Observational Stu–dies. Nutr Cancer. 2023;75(5):1295-1308. doi: 10.1080/01635581.2023.2178949.
- Bravi F, Tavani A, Bosetti C, Boffetta P, La Vecchia C. Coffee and the risk of hepatocellular carcinoma and chronic liver disease: a systematic review and meta-analysis of prospective studies. Eur J Cancer Prev. 2017;26(5):368-377. doi: 10.1097/CEJ.0000000000000252.
- Kennedy OJ, Roderick P, Buchanan R, Fallowfield JA, Hayes PC, Parkes J. Coffee, including caffeinated and decaffeinated coffee, and the risk of hepatocellular carcinoma: a systematic review and dose-response meta-analysis. BMJ Open. 2017;7(5):e013739. doi: 10.1136/bmjopen-2016-013739.
- DiJoseph K, Thorp A, Harrington A, Schmitz KH, Chinchilli VM, Stine JG. Physical Activity and Risk of Hepatocellular Carcinoma: A Systematic Review and Meta-Analysis. Dig Dis Sci. 2023;68(3):1051-1059. doi: 10.1007/s10620-022-07601-w.
- Li Q, Xu H, Sui C, Zhang H. Impact of metformin use on risk and mortality of hepatocellular carcinoma in diabetes mellitus. Clin Res Hepatol Gastroenterol. 2022;46(2):101781. doi: 10.1016/j.clinre.2021.101781.
- Chan JE, Shanmugham S, Kumar S, Lee YY, Ching SM, Chaiyakunapruk N, et al. Chemoprevention of Gastrointestinal Cancers: An Umbrella Review of Meta-Analyses of Randomized Controlled Trials and Cohort Studies. Clin Transl Sci. 2025;18(5):e70235. doi: 10.1111/cts.70235.
- Wang RJ, Wang J, Zhang XY, Yue Y, Shen B, Zhang YT. Prevention of Liver Fibrosis and Hepatocellular Carcinoma Using Antiplatelet Drugs: A Systematic Review and Meta-analysis. J Clin Gastroenterol. 2025 Jul 3. doi: 10.1097/MCG.0000000000002219.
- Shabil M, Khatib MN, Ballal S, Bansal P, Tomar BS, Ashraf A, et al. Risk of Hepatocellular Carcinoma with Glucagon-like Peptide-1 receptor agonist treatment in patients: a systematic review and meta-analysis. BMC Endocr Disord. 2024;24(1):246. doi: 10.1186/s12902-024-01775-2.
- Coffin P, He A. Hepatocellular Carcinoma: Past and Pre–sent Challenges and Progress in Molecular Classification and Precision Oncology. Int J Mol Sci. 2023;24(17):13274. doi: 10.3390/ijms241713274.
- Xu LX, He MH, Dai ZH, Yu J, Wang JG, Li XC, et al. Genomic and transcriptional heterogeneity of multifocal hepatocellular carcinoma. Ann Oncol. 2019;30(6):990-997. doi: 10.1093/annonc/mdz103.
- Valiante M, Grammatico P. Molecular and Genetic Mecha–nisms of Hepatocellular Carcinoma. In: Ettorre, G.M. (eds) Hepatocellular Carcinoma. Updates in Surgery. Springer, Cham. 1023. doi: https://doi.org/10.1007/978-3-031-09371-5_2.
- Schulze K, Imbeaud S, Letouzé E, Alexandrov LB, Calde–raro J, Rebouissou S, et al. Exome sequencing of hepatocellular carcinomas identifies new mutational signatures and potential therapeutic targets. Nat Genet. 2015;47(5):505-511. doi: 10.1038/ng.3252.
- Lee JS, Chu IS, Heo J, Calvisi DF, Sun Z, Roskams T, et al. Classification and prediction of survival in hepatocellular carcinoma by gene expression profiling. Hepatology. 2004;40(3):667-76. doi: 10.1002/hep.20375.
- Boyault S, Rickman DS, de Reyniès A, Balabaud C, Rebouissou S, Jeannot E, et al. Transcriptome classification of HCC is related to gene alterations and to new therapeutic targets. Hepatology. 2007;45(1):42-52. doi: 10.1002/hep.21467.
- Chiang DY, Villanueva A, Hoshida Y, Peix J, Newell P, Minguez B, et al. Focal gains of VEGFA and molecular classification of hepatocellular carcinoma. Cancer Res. 2008;68(16):6779-88. doi: 10.1158/0008-5472.CAN-08-0742.
- Hoshida Y, Nijman SM, Kobayashi M, Chan JA, Brunet JP, Chiang DY, et al. Integrative transcriptome analysis reveals common molecular subclasses of human hepatocellular carcinoma. Cancer Res. 2009;69(18):7385-92. doi: 10.1158/0008-5472.CAN-09-1089.
- Cancer Genome Atlas Research Network. Electronic address: wheeler@bcm.edu; Cancer Genome Atlas Research Network. Comprehensive and Integrative Genomic Characterization of Hepatocellular Carcinoma. Cell. 2017;169(7):1327-1341.e23. doi: 10.1016/j.cell.2017.05.046.
- Yang X, Yang C, Zhang S, Geng H, Zhu AX, Bernards R, et al. Precision treatment in advanced hepatocellular carcinoma. Cancer Cell. 2024;42(2):180-197. doi: 10.1016/j.ccell.2024.01.007.
- Singal AG, Zhang E, Narasimman M, Rich NE, Waljee AK, Hoshida Y, et al. HCC surveillance improves early detection, curative treatment receipt, and survival in patients with cirrhosis: A meta-ana–lysis. J Hepatol. 2022;77(1):128-139. doi: 10.1016/j.jhep.2022.01.023.
- Ioannou GN. HCC surveillance after SVR in patients with F3/F4 fibrosis. J Hepatol. 2021;74(2):458-465. doi: 10.1016/j.jhep.2020.10.016.
- Лукашенко А.В., Пацко В.В., Остапенко Ю.В., Черченко К.Д. Гепатоцелюлярна карцинома: епідеміологія, діагностика, лікування. Клінічна онкологія. 2023;1(49):55-71. doi: 10.32471/clinicaloncology.2663-466X.49-1.30217.
- Zhang BH, Yang BH, Tang ZY. Randomized controlled trial of screening for hepatocellular carcinoma. J Cancer Res Clin Oncol. 2004;130(7):417-22. doi: 10.1007/s00432-004-0552-0.
- Colli A, Nadarevic T, Miletic D, Giljaca V, Fraquelli M, Štimac D, et al. Abdominal ultrasound and alpha-foetoprotein for the diagnosis of hepatocellular carcinoma in adults with chronic li–ver disease. Cochrane Database Syst Rev. 2021;4(4):CD013346. doi: 10.1002/14651858.CD013346.pub2.
- Sanyal AJ, Van Natta ML, Clark J, Neuschwander-Tetri BA, Diehl A, Dasarathy S, et al, NASH Clinical Research Network (CRN). Prospective Study of Outcomes in Adults with Nonalcoholic Fatty Li–ver Disease. N Engl J Med. 2021;385(17):1559-1569. doi: 10.1056/NEJMoa2029349.
- Gilles H, Garbutt T, Landrum J. Hepatocellular Carcinoma. Crit Care Nurs Clin North Am. 2022;34(3):289-301. doi: 10.1016/j.cnc.2022.04.004.
- American College of Radiology. Liver Imaging Reporting and Data System (LI-RADS®) v2018 CORE. https://www.acr.org/Cli–nical-Resources/Clinical-Tools-and-Reference/Reporting-and-Data-Systems/LI-RADS.
- van der Pol CB, Lim CS, Sirlin CB, McGrath TA, Salameh JP, Bashir MR, et al. Accuracy of the Liver Imaging Reporting and Data System in Computed Tomography and Magnetic Resonance Image Analysis of Hepatocellular Carcinoma or Overall Malignancy-A Systematic Review. Gastroenterology. 2019;156(4):976-986. doi: 10.1053/j.gastro.2018.
- Shin J, Lee S, Hwang JA, Lee JE, Chung YE, Choi JY, et al. MRI-diagnosis of category LR-M observations in the Liver Imaging Reporting and Data System v2018: a systematic review and meta-ana–lysis. Eur Radiol. 2022;32(5):3319-3326. doi: 10.1007/s00330-021-08382-y.
- Piscaglia F, Wilson SR, Lyshchik A, Cosgrove D, Dietrich CF, Jang HJ, et al. American College of Radiology Contrast Enhanced Ultrasound Liver Imaging Reporting and Data System (CEUS LI-RADS) for the diagnosis of Hepatocellular Carcinoma: a pictorial essay. Ultraschall Med. 2017;38(3):320-324. English. doi: 10.1055/s-0042-124661.
- Calderaro J, Ziol M, Paradis V, Zucman-Rossi J. Molecular and histological correlations in liver cancer. J Hepatol. 2019;71(3):616-630. doi: 10.1016/j.jhep.2019.06.001.
- Zheng W, Haw Y, Wang HL. Advances in Hepatocellular Carcinoma: Molecular Insights, Histologic Subtypes, and Differential Diagnosis. Adv Anat Pathol. 2025;32(5):317-326. doi: 10.1097/PAP.0000000000000501.
- Yu B, Ma W. Biomarker discovery in hepatocellular carcinoma (HCC) for personalized treatment and enhanced prognosis. Cytokine Growth Factor Rev. 2024;79:29-38. doi: 10.1016/j.cytogfr.2024.08.006.
- Attia AM, Rezaee-Zavareh MS, Hwang SY, Kim N, Adetyan H, Yalda T, et al. Novel Biomarkers for Early Detection of Hepatocellular Carcinoma. Diagnostics (Basel). 2024;14(20):2278. doi: 10.3390/diagnostics14202278.
- Lubis M, Darmadi D, Samuel Surja S, Pakpahan C. Diagnostic value of Midkine and AFP in the detection of hepatocellular carcinoma: A systematic review and meta-analysis. Caspian J Intern Med. 2024;15(4):559-569. doi: 10.22088/cjim.15.4.559.
- Tayob N, Kanwal F, Alsarraj A, Hernaez R, El-Serag HB. The Performance of AFP, AFP-3, DCP as Biomarkers for Detection of Hepatocellular Carcinoma (HCC): A Phase 3 Biomarker Study in the United States. Clin Gastroenterol Hepatol. 2023;21(2):415-423.e4. doi: 10.1016/j.cgh.2022.01.047.
- Yang JD, Addissie BD, Mara KC, Harmsen WS, Dai J, Zhang N, et al. GALAD Score for Hepatocellular Carcinoma Detection in Comparison with Liver Ultrasound and Proposal of GALADUS Score. Cancer Epidemiol Biomarkers Prev. 2019;28(3):531-538. doi: 10.1158/1055-9965.EPI-18-0281.
- Tao K, Bian Z, Zhang Q, Guo X, Yin C, Wang Y, et al. Machine learning-based genome-wide interrogation of somatic copy number aberrations in circulating tumor DNA for early detection of hepatocellular carcinoma. EBioMedicine. 2020;56:102811. doi: 10.1016/j.ebiom.2020.102811.
- Tonon F, Grassi C, Tierno D, Biasin A, Grassi M, Grassi G, et al. Non-Coding RNAs as Potential Diagnostic/Prognostic Markers for Hepatocellular Carcinoma. Int J Mol Sci. 2024;25(22):12235. doi: 10.3390/ijms252212235.
- Cui K, Ou Y, Shen Y, Li S, Sun Z. Clinical value of circulating tumor cells for the diagnosis and prognosis of hepatocellular carcinoma (HCC): A systematic review and meta-analysis. Medicine (Baltimore). 2020;99(40):e22242. doi: 10.1097/MD.0000000000022242.
- Sun N, Zhang C, Lee Y, Tran BV, Wang J, Kim H, et al. HCC EV ECG score: An extracellular vesicle-based protein assay for detection of early-stage hepatocellular carcinoma. Hepatology. 2023;77:774-788.
- Ren Z, Li A, Jiang J, Zhou L, Yu Z, Lu H, et al. Gut microbiome analysis as a tool towards targeted non-invasive biomarkers for early hepatocellular carcinoma. Gut. 2019;68:1014-1023.
- Zhou G, Zeng Y, Luo Y, Guo S, Bao L, Zhang Q. Urine miR-93-5p is a promising biomarker for early detection of HBV-related hepatocellular carcinoma. Eur. J. Surg. Oncol. 2022;48:95-102.
- Choi J, Kim GA, Han S, Lee W, Chun S, Lim YS. Longitudinal Assessment of Three Serum Biomarkers to Detect Very Early-Stage Hepatocellular Carcinoma. Hepatology. 2019;69(5):1983-1994. doi: 10.1002/hep.30233/.
- Singal AG, Hoshida Y, Pinato DJ, Marrero J, Nault JC, Paradis V, et al. International Liver Cancer Association (ILCA) White Paper on Biomarker Development for Hepatocellular Carcinoma. Gastroenterology. 2021;160(7):2572-2584. doi: 10.1053/j.gastro.2021.01.233/.
- Norman JS, Li PJ, Kotwani P, Shui AM, Yao F, Mehta N. AFP-L3 and DCP strongly predict early hepatocellular carcinoma recurrence after liver transplantation. J Hepatol. 2023;79(6):1469-1477. doi: 10.1016/j.jhep.2023.08.020/.
- Minami Y, Nishida N, Kudo M. Imaging Diagnosis of Va–rious Hepatocellular Carcinoma Subtypes and Its Hypervascular Mimics: Differential Diagnosis Based on Conventional Interpretation and Artificial Intelligence. Liver Cancer. 2022;12(2):103-115. doi: 10.1159/000528538.
- Afyouni S, Zandieh G, Yazdani Nia I, Pawlik TM, Kamel IR. State-of-the-art imaging of hepatocellular carcinoma. J Gastrointest Surg. 2024;28(8):1717-1725. doi:10.1016/j.gassur.2024.08.001.
- Chernyak V, Fowler KJ, Kamaya A, Kielar AZ, Elsayes KM, Bashir MR, et al. Liver Imaging Reporting and Data System (LI-RADS) Version 2018: Imaging of Hepatocellular Carcinoma in At-Risk Patients. Radiology. 2018;289(3):816-830. doi: 10.1148/radiol.2018181494.
- Kinsey E, Lee HM. Management of Hepatocellular Carcinoma in 2024: The Multidisciplinary Paradigm in an Evolving Treatment Landscape. Cancers (Basel). 2024;16(3):666. doi: 10.3390/cancers16030666.
